44 N Girls School Rd, Indianapolis, IN 46214
Dental Emergency? Call Us Now!
100% Secure | Protected by strict privacy policy
Dental Emergency? Call Us Now!
Welcome to Luxia Dental
Your trusted family dentist in Indianapolis. We provide complete dental care for all ages – from routine checkups and cleanings to orthodontics, cosmetic, and restorative treatments. Our experienced team offers gentle, personalized care using the latest technology in a warm, modern clinic conveniently located in Girls School Rd, Indianapolis, IN. New patients always welcome! Call (317) 348-0048 to book your visit today.
Complete dental care for children, adults, and seniors – keeping your entire family’s smiles healthy and comfortable.
Straighten crooked teeth comfortably with clear, removable aligners designed to fit your lifestyle and improve your smile.
Enhance your smile’s appearance with whitening, veneers, and cosmetic treatments tailored to boost confidence.
Fast relief for tooth pain, broken teeth, or dental injuries when you need urgent care the most.
Permanent tooth replacement that looks, feels, and functions like a natural tooth – restoring your smile and bite.
Safe, expert surgical solutions for extractions, wisdom teeth, and complex dental issues with minimal discomfort.
Dental Emergency? Call Us Now!
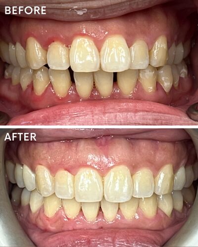
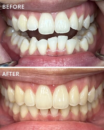
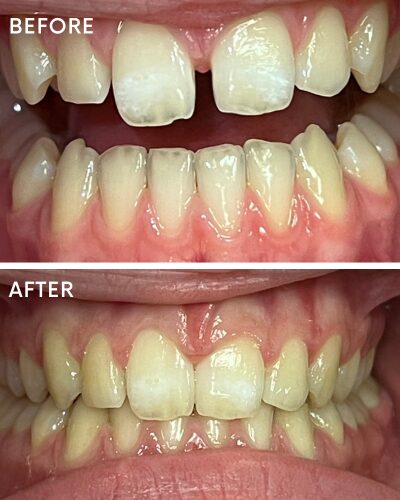
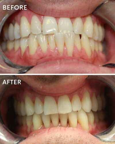
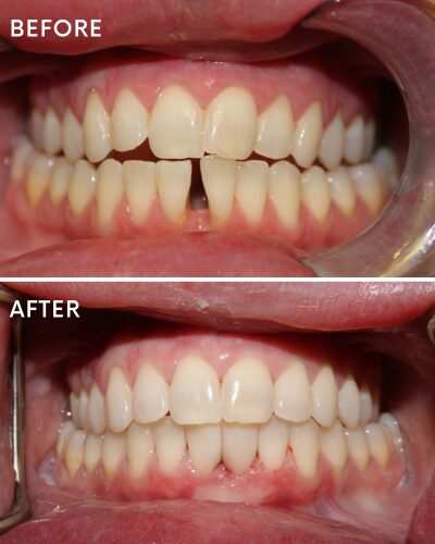
Here are a few of our patients’ before and after photos. Actual results may vary.




















Meet Your Dentist
Dental Emergency? Call Us Now!
Yes! Our family dentistry services are designed to care for patients of all ages — from toddlers to seniors. We provide gentle, patient-centered care that helps children feel comfortable during their visits while ensuring every family member maintains a healthy, confident smile.
General dentistry focuses on maintaining your oral health through regular checkups, cleanings, and preventive treatments. At Luxia Dental, this includes dental exams, X-rays, fluoride treatments, fillings, and gum care to prevent or treat early signs of decay and disease.
We offer a full range of restorative treatments to rebuild and protect your smile, including tooth-colored fillings, crowns, bridges, root canal therapy, and dental implants. Each procedure is tailored to restore both function and aesthetics.
Preventive dental care helps you avoid costly and painful dental problems in the future. Regular cleanings and exams allow our dentists to detect early signs of decay, gum disease, or other issues before they become serious, keeping your smile healthy year-round.
We offer several cosmetic treatments to enhance your smile’s appearance, including professional teeth whitening, porcelain veneers, bonding, and Invisalign. Whether you want a subtle improvement or a complete smile makeover, we’ve got you covered.
Yes! Invisalign is a discreet and comfortable alternative to traditional braces. Using clear, removable aligners, we help you achieve a straighter smile without metal brackets or wires — ideal for both teens and adults.
(317) 348-0048
44 N Girls School Rd, Indianapolis, IN 46214, United States
Mon–Fri: 7am - 4Pm
Sat: Closed
Sun: Closed
© 2026 LUXIA DENTAL. ALL RIGHTS RESERVED | PRIVACY POLICY