A feeling of gum pain when brushing is a concern, particularly if it occurs suddenly or continues to occur. A lot of folks in the US have this issue at some point; they tend to ignore it, believing it’s normal. In reality, pain in the gums isn’t something you can ignore, particularly if it is frequent.
Sometimes, pain in the gums while brushing can be caused by simple habits such as cleaning too vigorously. Sometimes, it could be an indication of more serious dental health issues that require medical care. Knowing the difference is crucial to protecting your gums and teeth.

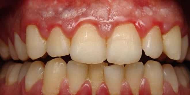
Gum pain while brushing is often caused by inflamed or irritated gum tissue due to plaque buildup, aggressive brushing, receding gums, or gum disease. Healthy gums should not hurt during brushing — persistent pain, bleeding, or swelling indicates a need for professional evaluation.
What Does Gum Pain While Brushing Mean for Your Oral Health?
Gum pain while brushing usually indicates irritation, inflammation, or early gum disease.
Gum discomfort while brushing is when your gums feel tender, sore, or sore when your toothbrush comes into contact with the gums. The pain could be moderate or sharp. It may also be burning. A few people also experience bleeding in conjunction with pain.
Healthy gums shouldn’t hurt when you brush. In the event that they are, it’s because something is causing irritation or harm to teeth. The irritation may be temporary or lasting, based on the underlying cause.
Common Symptoms That Come With Gum Pain While Brushing
Gum pain is rarely a single event. There may be other indications that suggest that your gums aren’t healthy.
- Gums that are red or swollen
- Bleeding that occurs during or after brushing
- Sensitivity at the gum line
- Bad breath that won’t disappear
- Gums are being pulled away from the teeth
- Itchy mouth or aching after chewing
These signs can help determine if the issue is serious or minor.
Common Causes of Gum Pain While Brushing
The root causes of gum pain while brushing range from simple brushing technique issues to early gum disease like gingivitis or periodontitis.
There are many causes for gum pain when brushing occurs. Some of the causes are easy and simple to address, and others require professional medical attention. Several underlying issues can cause gum pain while brushing, ranging from simple brushing mistakes to gum infections.
Brushing Too Hard and Wrong Toothbrush
This is among the most frequent causes of gum discomfort.
- Hard brushing damages soft gum tissue
- Hard-bristle toothbrushes scrape gums
- Pressure that is repeated causes swelling and bleeding.
Many people believe that a harder brush will make their gums cleaner, but it actually causes harm to their gums.
Plaque Build-Up & Poor Oral Hygiene
If plaque isn’t cleaned appropriately, it forms on the lines of your gums.
- Plaque irritates gums
- Gums are inflamed and painful
- The pain increases when you brush
It is a common reason for gum pain when cleaning across the US.

Gingivitis (Early Gum Disease)
Gingivitis is the initial stage of gum disease. It is the main cause of gum pain. One of the most common causes of gum pain while brushing is gingivitis, the early stage of gum disease.
- Gums are red and swollen.
- Bleeding can be easily caused
- The pain is apparent when you brush
There is good news: that gingivitis is treatable with the proper care.
Receding Gums
As gums separate from the teeth and expose vulnerable areas.
- The exposed roots can cause pain.
- It is a common practice to brush your skin, which causes discomfort.
- Sensitivity rises with time.
The receding gums can cause gum pain during brushing, even when using gentle pressure.
Mouth Sores or Ulcers
Small cuts or sores on the gums can trigger sharp pain.
- Applying the brush to the area of pain
- The pain feels intense and sudden.
- Usually, it heals in a few days.
However, any sores that appear frequently must be examined by a dentist.
Hormonal Changes
Changes in hormones can cause gums to become more sensitive.
- Pregnancy
- Menopause
- Puberty
These changes may cause more gum pain when brushing, even when you have good oral hygiene.
Vitamin Deficiency
The absence of certain vitamins can affect the health of your gums.
- Vitamin C weakens gums insufficiently.
- Gums can bleed and cause pain easily
- Healing is slow
It could result in gum pain when brushing.
Teeth Grinding or Jaw Clenching
Tooth grinding puts pressure on the gums.
- Gums may become swollen.
- The pain increases when you brush.
- Often happens during sleep.
A lot of people don’t realize the grind of their teeth.
When Gum Pain While Brushing Is Not Serious
Is gum pain harmless in certain cases? Sometimes, it’s just temporary and completely harmless.
There’s no need to be concerned in the event:
- Pain began after changing the toothbrush or toothpaste
- You have recently started flossing again
- The pain is not severe and will disappear in a few days
- There is no bleeding or swelling apparent.
In these situations, brushing techniques can be improved oral health care, which typically solves the issue.
When Gum Pain While Brushing Becomes a Warning Sign
Persistent gum pain while brushing can signal serious dental problems.
Sometimes, tooth pain when brushing could be an indication of a larger issue. If you ignore it, it could lead to more serious dental problems.
Warning signs you should never ignore:
- Gum pain lasting longer than 7 days
- Frequent bleeding during or after brushing
- Visible swelling, pus or discomfort at gum line
- Loose teeth or changing bite sensation
- Persistent bad breath that doesn’t go away
These symptoms usually indicate gum disease or an infection.

When to See a Dentist in the US
You should see a dentist in the US if gum pain while brushing interferes with daily life, persists, or is accompanied by bleeding, swelling, or loose teeth.
If gum pain while brushing lasts more than a week, it is time to consult a dentist in the US.
A visit to the dentist in the early stages can help your teeth and gums. In the US, dentists advise against taking too long.
It is recommended to see a dentist for the following reasons:
- Gum pain persists for more than 7 days
- Bleeding is a regular occurrence every time you scrub
- Gums may be swollen or painful to the touch
- You notice gum recession
- Pain can interfere with eating and speaking
Dental appointments help to identify the root cause of problems and can help avoid complications.
How Dentists in the US Diagnose Gum Pain
Dentists diagnose gum pain by examining the gums visually, measuring periodontal pockets, and assessing plaque/tartar buildup.
Dentist in the US employ simple techniques to identify the reason.
- Visual gum examination
- Gum pockets are measured by measuring the size of the gum.
- Dental X-rays, if required
- Verifying tartar buildup and plaque
This aids in forming the appropriate treatment program.
Treatment Options for Gum Pain While Brushing
The treatment depends on the root and the severity.
Improving Daily Oral Care
In mild cases, a few adjustments work. Treatment for gum pain while brushing depends on the underlying cause.
- Use a toothbrush with a soft bristle
- Use a gentle brush in circular motions.
- Make sure to brush twice daily.
This can be enough to decrease the pain of brushing your gums.
Professional Dental Cleaning
Dentists take care of tartar and plaque buildup.
- Deep cleaning under the gums
- Reduces inflammation
- Helps to heal
This is highly effective for gum disease.
Medicated Mouthwash
Antibacterial mouthwash can fight infections.
- Reduces the amount of bacteria
- It soothes gums
- Protects against further damage
Dentists frequently recommend this procedure.
Treating Underlying Conditions
If the discomfort is caused by the grinding or misalignment of the joints:
- Mouth guards could be recommended
- Orthodontic treatment can be helpful.
The root of the issue is crucial.
How to Prevent Gum Pain While Brushing
Prevention is simple, but effective.
- Make sure you brush gently throughout the day.
- Floss frequently
- Visit the dentist at least every six months
- A balanced diet is essential.
- Do not smoke
Good habits help protect gums throughout life.

Medical Review & Author Information
Reviewed by: Dr. Manpreet Dhanjal, DDS, BDS – Compassionate Family & Cosmetic Dentist in Indianapolis
Dr. Manpreet Dhanjal is a licensed dental professional with extensive experience in preventive, restorative, and cosmetic dentistry. She specializes in diagnosing gum disease, managing gum pain, and providing comprehensive oral health care for patients of all age groups in Indianapolis.
Conclusion
Gum pain while brushing should never be ignored. Gum discomfort while brushing isn’t something you should be ignoring, even if it seems initially mild. While some causes are unaffected, others may indicate gum disease or an infection. Being aware of the signs to look out for and when to visit an experienced dentist in the US can keep your mouth healthy. A quick action can stop severe damage and can save you from discomfort and costly treatment. A gentle brushing routine, good hygiene, and regular visits to the dentist are the most effective ways to maintain your bleeding gums health. If the pain continues, dental care from a professional is the best option.
FAQs About Gum Pain While Brushing
Q1. Why does gum pain occur when brushing?
Gum pain while brushing can occur due to inflammation, plaque build-up, aggressive brushing, gingivitis, or gum recession.
Q2. Can brushing too hard cause gum pain?
Yes. Using a hard brush or scrubbing too forcefully can irritate and injure gum tissues.
Q3. Is it normal to have gum bleeding while brushing?
No. Bleeding is a common early sign of gum disease and should be evaluated.
Q4. When is gum pain serious?
Seek dental care if pain lasts longer than 7 days, refuses to improve, or is accompanied by bleeding and swelling.
5. How can I lessen the pain of my gums at home?
The best way to alleviate gum pain is by using a gentle brush, a soft toothbrush, flossing every day, and using a mouthwash that is recommended by your dentist. If pain persists, expert dental care is necessary.